“Danielle Taylor is the mother of two small children and the wife of Brian Taylor.
Three summers ago, the doctors found a large tumor on her brain, which they removed.
Eighteen months later, they found a tumor on her baby’s kidney that they removed. Then, six months later, the doctors found (through a routine check) a spot on his lung, which required many months of radiation and chemo. She spent many long days and nights, too, at CHOP in Philadelphia. I feel Danielle so deserves a little pampering for herself.”
So wrote Dee Bosley in nominating her daughter for the makeover that would entail a range of services from Luxe Salon & Spa; aesthetic dental services from Dr. John A. Weierbach, III; and a spin as a model with fashions provided by Clemintines in Lititz.
The photo of Danielle and her two children – taken at Children’s Hospital of Philadelphia (CHOP) – “spoke” to us. Danielle was our girl!
“I can’t believe I’m 40!” she says of her June birthday. Danielle, who grew up in Bowmansville, is a graduate of Garden Spot High School, where she played soccer and was involved in the Garden Spot Performing Arts program, which was founded and directed by the legendary Stan Deen.
Danielle, a self-confessed animal lover, also worked for dog breeder/handler Peter Green, who won his share of Best of Show honors (including Westminster) before becoming an American Kennel Club (AKC) judge in 2006. “My grandfather knew Peter, plus I was willing to clean kennels, so they hired me,” she says of her high school job.
Working with animals helped to determine Danielle’s future. After graduating, she enrolled at Delaware Valley College (now University), where she majored in animal science. “I really didn’t know exactly what I wanted to do,” she says of facing that life-altering decision at the age of 17. “I knew I didn’t want to be a veterinarian, a vet tech or a groomer.” An interest in massage therapy prompted her to enroll at the Massage Arts Center of Philadelphia. “I’ve always had an incredible sense of touch,” she says.
It occurred to Danielle that she could combine her two interests and create her own career path. How was the question. “It was the mid-90s, and the Internet was relatively new,” she explains. “The only search engine was AOL.” She entered animal massage and “a website for a place in California came up. That’s all I could find, but I knew that’s what I wanted to do.”
Danielle completed her studies and launched her business, A Balanced Being Massage (abalancedbeingmassage.com).

Danielle and her mother, Dee Bosley. It was Dee who nominated Danielle for the makeover. “This is one of the nicest things to happen to our family in a long time,” Dee shared.
Massage, she points out, is a natural way to bring calmness to animals. It does make sense. Dogs love nothing more than to be petted. Some take pleasure in being brushed and bathed. Horses love to be stroked. “Just like people, animals get stressed,” she says. “Being around show dogs made me realize that.” But, according to Danielle, dogs don’t have to compete at shows like Westminster to exhibit stress. “They don’t like being alone all day,” she says of one trigger. And, if there is tension on the homefront, a dog will react to it. Canine clients have included puppies with behavioral issues, dogs with anxiety, post-op patients and seniors. Her own dog, a golden retriever, as well as her cat love it when she massages them. She’s learned a lot from her clients, noting that horses have taught her patience and dogs have encouraged her to be more intuitive.
Danielle also has human clients; many of them schedule double sessions – a massage for themselves and one for their furry friend. “I know it all sounds New Age,” she says. “I like to think of New Age as moving forward and embracing a new way of thinking.”
Having people readily accept her services prompted Danielle to put down roots in Doylestown, Bucks County. “I love Lancaster and would never wish to have been raised anywhere else, but I decided to stay in Doylestown for business purposes. But, be assured, you can take the girl out of Lancaster County, but you can’t take Lancaster County out of the girl!” she says. “My roots run deep here,” she notes, referring to family members whose last names are Brubaker and Eckenroth. “I’m proud to be a daughter of Lancaster. I credit my interest in holistic practices and my dislike of waste to my Mennonite roots.”
Remaining in Doylestown was fated in another way. One night she was out with friends when one of them introduced her to Brian Taylor. They’ve been married for seven years. Brian and his father operate a woodworking company; he specializes in custom veneers. Six years ago, they welcomed their first born, daughter Winter. Their son, Bishop, arrived three-and-a-half years later.
Four years ago, it seemed as if a black cloud planted itself over the Taylors’ lives. In January 2014, her beloved father, Earl Brubaker, unexpectedly passed away. A year later, in the spring of 2015, Danielle began dealing with an unrelenting headache. Late on the Sunday of Memorial Day weekend, Danielle told Brian she could no longer deal with the headaches. He encouraged her to go to the emergency room, where a CT revealed a huge tumor. She was immediately transferred to Jefferson University Hospital. That Wednesday she underwent a full-craniotomy. “I was in surgery for over six hours,” she notes. Thankfully, the tumor was benign. “I never lost any of my cognitive functions,” she adds.
Then, Danielle fell and broke her leg, which required surgery.
Six months later, she was bathing Bishop. He exited the bathtub and ran down the hallway to his room. Danielle noticed a bump protruding from the side of his abdominal area. The diagnosis was Wilms tumor, a relatively rare pediatric kidney cancer (approximately 500 cases are diagnosed each year, with patients typically being 3 to 4 years old). Bishop underwent surgery to remove his left kidney; however, six months later, the cancer metastasized into one of his lungs, forcing the 2-year-old to endure rounds of radiation and chemo. “CHOP was, and remains, a big part of our lives, as Bishop must get multiple scans yearly,” Danielle explains.
Bishop’s port was removed in February (2018), and in April, the family embarked on a Make-A-Wish trip to Florida, where they vacationed at the Give Kids the World Village in Kissimmee, where families with sick children can enjoy a week of sunshine and togetherness. “It was a wonderful experience,” Danielle says. “I want to volunteer there.”
It seems the sun has chased that black cloud away. Bishop is now cancer-free. Last month he started pre-school, while his sister became a first grader. Danielle is excited by the prospect of devoting more time to her business. “For the first time in seven years, I’m not a 24/7 mom,” she says. “I’m going to work on expanding my business.”
Still, the question arises: How does one get through what she faced? She names family, friends, neighbors and an “inner strength I didn’t know I have” as being her coping mechanisms. And, a smoothie that a nutritionist-friend prescribed. “I couldn’t eat,” Danielle remembers. “She told me to put every healthy thing I could find into making a smoothie, and that’s what I did every day.” Lastly, she is “continually thankful to God.”
Creating a New Look … Luxe Salon & Spa
Danielle was excited to have been chosen for the makeover. However, like a lot of women, the thought of cutting her hair initially caused a moment of panic. Then, she turned to Instagram and the page of a yoga instructor she follows and was inspired to forge ahead.
Upon hearing Danielle’s story and seeing the photo of her and her children, the staff of Luxe was on-board to give Danielle a new look and provide her with some relaxing and pampering services. “You know, I don’t think I had my hair cut at all during the year Bishop was being treated,” she says.
During an introductory telephone conversation with Nate Fox, Luxe’s artistic director, she expressed some concern about undergoing a “makeover,” telling him, “I like the way I look.” He fully understood her trepidation. “Hair is our security blanket,” he says. “Plus, change can be scary.” He assured her that she would be part of the team and would lead the way in making decisions about her hair. “I told her, ‘Let’s work together to make you look even better.’”
Actually, he was relieved that she didn’t want to lose herself in the process. “I find it to be a red flag when someone comes in and says, ‘Do whatever you want,’” Nate explains. “As stylists, we want our clients to leave happy, and a successful outcome is dependent upon feedback from a client – from beginning to end.”
Danielle arrived at Luxe in early July for an initial consultation and a relaxing facial. She was nervous and used the appointment to get to know two team members, stylist Kelsie Small and skin expert Corey Clark.
Luxe is celebrating a milestone year in 2018. Ten years ago, Ana Kitova realized her dream of opening a salon that would bring a very modern approach to hair care to Lancaster. It also offered clients the services of a day spa. Nate, who had been working on the West Coast, joined the salon a few years later. Lindsay Kress is the salon’s third partner.
Luxe’s meteoric success prompted growth. Eight years ago, the business doubled in size with the addition of 2,300 square feet of space that is dedicated to a day/med-spa that has its own reception area, six treatment rooms, an enclosed area dedicated to nail care, a lounge and a locker room. “It’s huge for us,” Nate says of the busy spa that has become a destination for those seeking the fountain of youth or just an hour of relaxing. In addition, it’s become a favorite party space for bachelorette and birthday parties and corporate events.
Three years ago, Luxe took over and completely remodeled space that had been vacated by a salon in Brighton Village. “That’s where most of our med-spa services are located,” Nate notes. It had always been Ana’s goal to open a med-spa. Overseeing the med-spa are Dr. Maxwell Adams, who serves as facial aesthetics director, and Adrienne Hughes, who is the clinical director and medical esthetician. “Lititz is a perfect location for us,” Nate says. “There wasn’t a lot of crossover of clients, and there’s nothing like Luxe in that area.” Together, the two locations employ 90. “We’re very hands-on owners,” Nate points out.
As Luxe’s artistic director, Nate is responsible for selecting products and services for the salon and spa, as well as arranging educational seminars for the staff. He’s excited about Luxe’s most recent addition – Oribe Hair Care products. “It’s a very high-end, hair-care line that was launched by stylist Oribe Canales,” Nate explains. If you’re a fan of Jennifer Lopez, you’ve seen his work. But, before JLo, Oribe had already made a name for himself as the “hair maestro” (per The New York Times in 1992), styling hair for the super models who walked the runways for the world’s best-known designers and appeared on the covers of fashion magazines. Ten years ago, he launched his line of hair-care products that is carried in top salons and high-end department stores. “We’re excited to be carrying the line,” Nate says.
Stayi
ng ahead of the trends is vital to a salon such as Luxe, which is why education is so important to the staff. “Our clients know what products are out there and what the latest trends are,” he says, giving credit to social media, YouTube and the Internet for sharing such information in lightning-fast speed. “You can live in the middle of nowhere and be up on the latest trends at the touch of a button.” FYI: hair sewing is the next up-and-coming trend.
Speaking of staying ahead of trends, Nate points to Luxe’s makeup-artist extraordinaire, Lionel Adriano, who has been on staff for nearly six years. After working in California for a number of years, the M.A.C.-certified artist traveled to Lancaster to visit his grandfather and never left. In addition to working with clients to devise looks for everything from job interviews to special occasions, Lionel oversees the design of Luxe’s ads, website and social media. “In addition to being a visual artist, he’s a tech wizard,” Nate says, which allows him to work on a full-time basis at Luxe. “Working as a full-time makeup artist in this market can be challenging.” Lionel is also a critical part of Luxe’s successful wedding services that can be provided in the salon or on-site.
For Danielle’s photo shoot, Lionel created a very natural look for her casual outfits and upped the ante for the dressier ones. When she first spied herself in the mirror, Danielle was speechless.
Danielle’s next appointment was scheduled for August 24. Prior to arriving, she shared a photo of a yoga instructor she follows on Instagram with Nate. She loved the cut and color of the yoga instructor’s hair. That’s where Kelsie took over, working two colors into Danielle’s hair to add depth and achieve more of a color balance. Then, Danielle held her breath as Kelsie began to cut her hair into what Nate calls a “graduated bob.” When Kelsie finished styling her hair with a few quick twists of a curling iron, Danielle was ecstatic. Her hair was gorgeous – it had bounce and instantly looked healthier.
Danielle’s bob represents the classic “trend” that seems to never go out of style – it simply undergoes subtle changes from year to year. “I am seeing a trend where cuts are shorter,” Nate adds. He also predicts that “super-straight, editorial-look” styles will be making a comeback. “The pendulum swings back and forth,” he says. As far as color is concerned, the avant-garde colors of 2017 are giving way to more natural hues that are achieved with techniques such as hair painting.
Nate and the staff at Luxe have taken notice of a trend that is sweeping the country that centers on embracing who you are and not fighting mother nature. Women of all ages are accepting their curly, stick-straight or even gray hair. “Women are working with the natural texture of their hair and not against it,” Nate says. “They are learning which products to use to achieve that air-dried look that is so popular right now.”
In the end, Danielle put her trust in the Luxe team. “From the beginning, I assured her that it wasn’t our goal to change who she is. We wanted to simply take her natural beauty and enhance it.” She was thrilled with the results. It seemed as if her whole being underwent a metamorphosis. She glowed. She smiled more. She even seemed to grow a few inches taller. “Something as simple as a haircut can do that,” Nate says. “It can make a difference in how you feel about yourself. It can instill confidence – inside and out.”
As for Danielle, she says her experience at Luxe was beyond her expectations. “The staff was so professional, caring and positive,” she says. “Being a massage therapist, I really enjoyed the massages – Whitney and Luis are top-notch. In reflecting on my experience, I have to say my favorite part of it is my own acceptance and growth during this whole process. My cup is so full!”
When she left Nick Gould’s studio, she was heading for Doylestown and a date night with her husband. Winter and Bishop were with their grandparents. The next day she texted us to report that when Brian spied her, his comment was, “Whoa! You look hot!”
Danielle’s Team:
Nate Fox, Artistic Director
Kelsie Small, Hair Stylist
Lionel Adriano, Makeup Artist
Corey Clark, Esthetician
Whitney Simpson, Massage Therapist
Luis Gonzalez, Massage Therapist
824 First Street, Lancaster. 1325 Brighton Avenue, Lititz. 717-393-3200 (both locations). Luxelancaster.com
A Dazzling Smile … by John A. Weierbach, III, DMD
What best accompanies a solid handshake? According to Dr. Weierbach, it’s a dazzling smile.
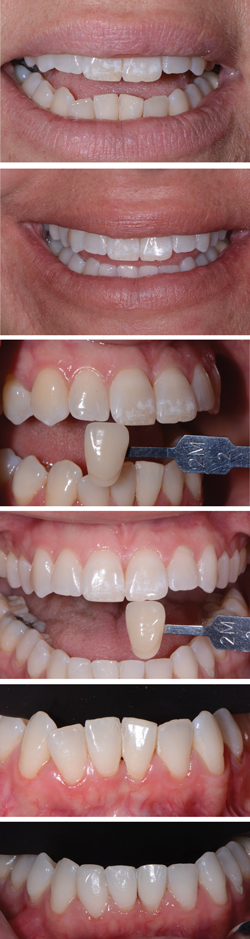
Like many people who wore braces, Danielle’s lower teeth had shifted, and she was somewhat self-conscious of their crooked appearance. “That happens a lot,” Dr. Weierbach notes. “People stop using their retainers for one reason or another. Their teeth want to shift back to where they were originally. All teeth have movement – there’s a lot of shifting around going on as we get older.” In Danielle’s case, she lost her retainer and never replaced it. Over time, her bottom teeth shifted, resulting in a crooked appearance.
The original plan was for Danielle to undergo a teeth-whitening process or two. She was excited by that prospect, but when Dr. Weierbach mentioned he could easily solve the crooked look of her front bottom teeth, she was definitely interested in learning more. He explained the procedure would be relatively simple – all he would do is recontour the tops of her lower front teeth and build up one with a bonding agent. “Twenty minutes,” he said of the time that he would need. A numbing agent would not be needed. True to his word, the mission was accomplished in the stated time. Danielle peered into a mirror and was amazed. “My teeth are straight,” she marveled.
Aiming to become an artist – or perhaps a biologist — Dr. Weierbach, who grew up in Quakertown, achieved both goals in a roundabout way. As a teen, he worked at a tennis club where a local dentist played. A mentorship developed, and through visiting the dentist’s office, Dr. Weierbach realized he could combine both interests through dentistry. It was on to Bucknell University (biology) and then the University of Pennsylvania’s School of Dental Medicine, where he was placed in the accelerated clinical group. “I received a world-class education,” he says of Penn, adding that the five-year program entailed a good amount of reconstructive dentistry. (He is back at Penn, only this time he is on the teaching end.)
At Penn, his roommate was the future Dr. Gary Seldomridge, who often invited him to spend weekends and breaks with his family in his hometown of Lancaster. Dr. Weierbach grew to love Lancaster, and when a job offer was made by Loeffler-Pitt, he accepted it. After three years of practicing general dentistry, he left to pursue more education, focusing on prosthodontics at Temple University.
In 1989, he opened his own practice. It was a new era in dentistry, as cosmetic enhancements were changing the appearance of people’s smiles. Dr. Weierbach prefers to call his specialized area of dentistry “aesthetic” as opposed to cosmetic, explaining that for patients with genetic abnormalities or traumatic injuries, the types of procedures he performs can be life-changing.
While Dr. Weierbach has achieved some jaw-dropping results, many of his patients are from all walks of life and, for one reason or another, are self-conscious of their smiles. The reasons are varied: antibiotics can damage teeth, as can smoking and beverages such as coffee and wine. Some grew up in an era when regular dental visits were beyond a family’s means. “A smile is an emotional thing,” Dr. Weierbach explains. For example, an unsmiling person in a photograph often points to embarrassment over their smile. Some people are so self-conscious that they will subconsciously slide their hand over their mouth when they speak. “Unfortunately, people assume it will cost them a fortune to correct a problem and, therefore, do nothing,” he continues. “Or, they think nothing can be done and live with it. But, as you saw with Danielle, some problems can be fixed very easily.”
In analyzing a person’s smile, Dr. Weierbach conducts what he calls a “smile analysis” that is based on the ancient Golden Proportion, a mathematical ratio that governs the symmetry that exists between two proportions. It is known as Phi or 1:1.6. “The universe revolves around it,” Dr. Weierbach notes. It played a role in the book and move, The DaVinci Code. He studies the parts that make up the total face to achieve a pleasing smile. “There are many components of a nice smile,” he says.
He’s also come up with a way to thoroughly explain the planned course of action with patients in one word: VAPOR. V is for visualizing the results; A is for agreeing with the goals; P is for creating a prototype; O is for observe; and R is for replicate the prototype. “It works every time,” he says. “For the patient, it’s a stress-free, predictable aesthetic experience.”
While he serves as an architect of smiles, technology is now playing an increasingly important role in dentistry. Three-dimensional scanners are making the placement of implants spot on. Temporary implants allow patients to take them for test drives. “Sometimes I don’t know if technology is keeping up with dentistry or if dentistry is keeping up with technology,” he says of mind-boggling software and other technological elements that are impacting the art of dentistry. “Technology delivers more accuracy,” he reports.
Watch television, and you’ll notice the proliferation of commercials that are dedicated to whitening one’s teeth. This month, cosmetic companies are touting their fall lip shades that will help teeth look whiter. Even makeup guru Bobbie Brown touts teeth whitening as a sure-fire way to instantly look younger. Is our obsession with dazzling white teeth an American phenomenon? Yes and no, Dr. Weierbach says. Europeans seem sort of blasé about it. Yet, he’s seen the reaction of people who show up for clinics he and other members of Lancaster’s dental community conduct in countries like the Dominican Republic, Guatemala and Honduras. “People who live in those countries have black teeth because of the sugar cane,” he explains. “It’s very gratifying to see their reactions after their teeth are cleaned. They leave, and the next day their whole family shows up!”
Danielle experienced what Dr. Weierbach calls the “gold standard of teeth whitening” – the Zoom! Professional Whitening System. Zoom! entails a light-activated whitening gel whose active ingredient is hydrogen peroxide. As the peroxide breaks down, oxygen enters the enamel and dentine, bleaching the underlying layers but not changing the structure of the tooth. “You can see a dramatic difference in about 90 minutes,” he says, pointing out that Zoom!’s ingredients are 10 times stronger than at-home products, plus they penetrate the teeth deeper. “It’s more of a permanent whitening procedure. Some people will do two or three sessions and come back after five years for a refresher.”
Indeed, the results were dramatic after the first session. Dr. Weierbach felt Danielle would benefit from a second session, so she accepted the invitation. “Oh, my gosh, I could see how it could become addicting,” she says. While she suffered from some “zingers” in the 24 hours that followed both procedures and subsisted on the prescribed “white diet” for three days, she says she loves her pearly whites. Her husband is so impressed that he’s tempted to give it a try.
160 North Pointe Boulevard, Suite 203. 717-560-9190. Yourclassicsmile.com
Fall Fashions … From Clemintines
Comfortable, casual clothes define Danielle’s busy lifestyle. Jeans and sweaters are her wardrobe staples when autumn arrives. We asked the staff at Clemintines to assemble some looks that would convey fall trends and complement Danielle’s style.
According to Paige Garner of Clemintines, a women’s boutique in Lititz, the proverb, “What goes around comes around,” sums up the cyclical fashion trends that make their way into our closets each year. In the case of Fall 2018, the 90s are back!
Clemintines is celebrating its 10th anniversary this month. It all began when owner Donna Girvin began hosting fashion events at her home. Soon, her ever-expanding guest list outgrew her space, prompting Donna to open a small shop along Sturgis Lane. Her fans followed, and on Second Fridays the shop was often so busy that customers had to wait in line to enter. When Donna saw an opportunity to move to a larger location, she relocated Clemintines to Main Street, where the shop is managed by Paige and Cindy Weiler.

This was Danielle’s pick – she loves sweaters and jeans. This sweater-coat, from Illinois-based Keren Hart, exemplifies this season’s multitasking trend. It’s worn with a silky black top from French Dressing Jeans. The pull-on jeans, from Ethyl Clothing, have stretch and are devoid of a zipper and waistband, hence they’re slimming. “I love these jeans!” Danielle said repeatedly. Accessories include a colorful necklace from Encanto and a red shoulder bag. It’s a perfect look for shopping at Central Market, where Danielle stopped to admire the fall offerings of Rohrer Family Farm Flowers.
Clemintines, whose target audience is ages 30+, specializes in unique, fashion-forward clothing from such labels as Tribal, Clara Sunwoo, Elena Wang, Simpli Silk, Keren Hart and Foxcroft. The store’s selection meets a customer’s lifestyle needs: casual weekends at home, the workplace, a special event such as a wedding and everything in-between. “We don’t have suiting, but we do have office-appropriate attire,” Paige explains. The selection also extends to “fun, casual wear,” and at the opposite end of the spectrum, “hand-painted silk dresses that have found a following with mothers of brides and grooms.”

The reincarnation of the prairie dress of the 90s mixes Victorian with boho. The mix of prints is also on trend for Fall 2018. The dress would be perfect for a First Friday gallery opening, followed by dinner. Dress from Elena Wang.
Be sure to visit the Liz Hess Gallery (140 N. Prince St.) during October. On Friday, October 5, Liz will unveil “The Star Barn” – a collection of original paintings, prints and notecards that depict the Star Barn Complex, which is located at Stone Gables Estate in Elizabethtown.

Another multitasking outfit – the tunic-blouse from Foxcoft is perfect for the office. Top it with a color-blocked sweater-jacket from Elena Wang, and you’re set for a meeting or networking lunch. “Everyone can wear turquoise,” Paige points out. Black pants are from Renuar.
“We love to help someone find the perfect outfit. If they leave happy, we’ve done our jobs,” says Paige. “We’re on a first-name basis with a lot of our customers.”
Four times a year the staff travels to buying shows that are held at the Javits Center in New York to find the clothing and accessories their customers love. “And, a lot of sales reps come to the store,” Paige notes.
Customer service plays a key role in Clemintines success. “Ladies don’t like to see themselves coming and going, therefore, only one item is available in each size of a style,” Paige explains. However, many of the companies Clemintines represents will work to provide a needed size. Customer service extends to Clemintines’ hours: the shop is open seven days a week and extends its closing hour to 7 p.m. on Thursday and Friday.
Paige and Cindy take pride in being a part of Main Street’s fashion row. “The focus is different at each shop,” Paige says. “We want each other to thrive.”
So, what’s in store for fall? The fashions seen here are on trend with the colors and styles that set the tone on runways last February during Fashion Week in New York. Speaking of color, the Pantone Color Institute has gotten involved and now issues color forecasts for the various seasons. Pantone’s colors for fall and winter bear such names as Red Pear, Valiant Poppy, Mellow Rose, Crocus Petal, Nebulas Blue, Meerkat, Martini Olive, Quiet Gray, Tofu and Elegant Black.
And, it seems that designers have their muses for Fall 2018. An element of that ode to the 90s is exemplified by this season’s focus on classic styling – cardigan sweaters, tailoring, pearls, etc. The style meshes with Sex & the City’s 20th anniversary and pays homage to Charlotte York’s classic look. The #MeToo and Time’s Up movements are also being reflected in strong colors (notably red), animal prints (the snow leopard is this year’s inspiration), western-wear influences (cowboy boots to snakeskin) and statement coats.
Just like the women who wear them, clothes are multitasking. Look for sweater-coats, sweater-jackets, tunic-blouses and dressy yoga pants.
Ruching is back. Prints – the busier the better – are big. And, this season’s take on western wear includes the return of the prairie dress – remember Jessica McClintock – only this version is a mix of Victorian and boho. Paige points out that if you’re not quite ready to embrace the western look – or, any look, for that matter – from head to toe, accessories such as belts, bags and jewelry can update your wardrobe.
Shearling is also making a statement, which doesn’t surprise Paige, who says, “It never goes out of style.” Plaid is back in a big way, as are metallics. If you’re shopping for jeans, think dark denim.
All of Danielle’s clothing and accessories were provided by Clemintines.
25 E. Main Street, Lititz. 717-626-6688. Clemintineslititz.com.

Metallic is back in a big way – as this two-piece, jumpsuit-like ensemble from Clara Sunwoo demonstrates. Depending upon the light, the color is gold or platinum. Note the yoga-inspired pants.
Editor’s note: Thanks to Danielle, Dee, Briana, Ashley, the team at Luxe, Central Market, Liz Hess, Nick Gould and Lexi Bonner – you were all troopers. Our photo shoot took place on Friday, August 31, the day that unofficially made the Summer of 2018 the wettest on record.























Wow! Love this transformation of an already beautiful young lady. Love the new hair style and color. Clothing looks amazing on Danielle.
Danielle, you deserve this pampering. PTL
You and your son are doing well!
Great story!
Danielle you so deserved winning this makeover.It must of been so exciting for you.You look so happy your glowing with radiance.The artists all captured your inner natural beauty.You definitely deserved some me alone time.The cover to the magazine came out beautiful.You could have a new caréer modeling.
WOW WOW WOW & HOLY MOLY DIG THIS REALLY CUTE CHICK .. YOU DESERVE TO BE PAMPERED, AGAIN & AGAIN & AGAIN !!!! FOREVER…
YOU GO WITH YOUR GOOD SELF LADY,
LOVE YOU ALL, MRS ” C “